استخدم حقناً لتضخيم العضلات فظهرت الكارثة بعد 30 عاماً
شبكة الخامسة للأنباء - غزة

في واحدة من أغرب الحالات الطبية التي حيّرت الأطباء، وصل رجل يبلغ من العمر 60 عاماً من وارسو في بولندا إلى المستشفى وهو يعاني من القيء لمدة يومين، إضافة إلى ضعف شديد استمر طوال عام كامل، فقد خلاله نحو 18 كيلوغراماً من وزنه من دون أي سبب واضح مما دفع الأطباء لإجراء فحوصات عاجلة، وكانت النتائج صادمة.
أظهرت تحاليل الدم ارتفاعاً كبيراً في مستويات الكرياتين واليوريا، مما دلّ على أن كليتي الرجل في حالة تدهور، لكن المفاجأة الأكبر كانت في مستوى الكالسيوم، الذي كان مرتفعاً إلى درجة خطيرة تهدد القلب والدماغ.
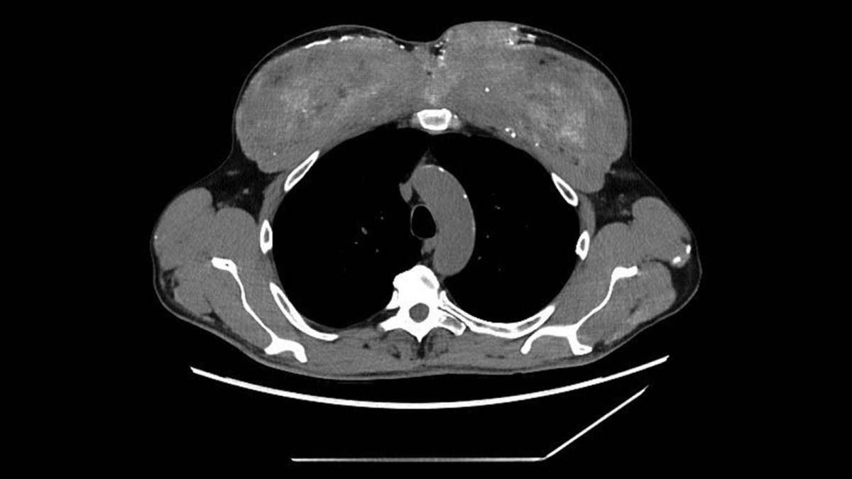
قرر الفريق الطبي إجراء فحوصات تصوير مقطعي، ليتضح أن التكلّسات لا تقتصر على الدم فقط؛ فقد كانت منتشرة في الكليتين والبنكرياس والمعدة، كما ظهرت بقع تشبه الندبات في الرئتين. غير أن أكثر ما أثار الريبة كان التغيّر الغريب في عضلات الصدر، التي بدت متكلّسة بشكل كثيف وغير طبيعي.
تم إدخال الرجل للعلاج، فحصل على مدرّات البول، والسوائل الوريدية، والستيرويدات، وأدوية لخفض الكالسيوم. انخفضت مستويات الكالسيوم مؤقتاً، لكنه وبعد أسابيع قليلة عاد إلى المستشفى بمشكلة أكبر وهي أن الكالسيوم يرتفع من جديد دون أي سبب واضح. عند إعادة الفحص، لُوحظ أن عضلات الذراعين والصدر مشوهة وغير طبيعية، تماماً مثلما ظهر في صور الأشعة.
عندها، كشف المريض السر الذي غيّر مجرى التشخيص بالكامل، حيث قال إنه قبل نحو 30 عاماً بدأ بتلقي حقن عضلية “غير معروفة”، ربما تحتوي على التستوستيرون، بهدف تضخيم عضلاته. كان يأخذ هذه الحقن في الصدر والذراعين، واستمر معها سنوات طويلة، بينما كانت آخر جرعة قبل عامين فقط.
مع استبعاد الأسباب الهرمونية والسرطانات والأمراض المناعية، قرر الأطباء أخذ خزعة من إحدى العضلات المتضررة. وهناك كشف اللغز كاملاً العضلة كانت مليئة بمادة زيتية تشبه السيليكون، ومحاطة بطبقات كثيفة من التكلّس. وهذه المادة لم تكن سوى “السينثول”، زيت عضلي يستخدمه البعض لتضخيم شكل العضلات بسرعة، رغم مخاطره الكبيرة، وفقا لموقع “livescience”.
تبيّن أن السينثول تسبب في استجابة مناعية مزمنة، أدت إلى تندّب شديد وتخزين كميات كبيرة من الكالسيوم داخل العضلات. ومع مرور السنوات، بدأ هذا الكالسيوم بالتسرب إلى الدم، ليصنع حالة مرضية نادرة للغاية.
في هذه الحالة، بحسب الاطباء، حفّز السينثول تفاعلًا مستمرا مع جسم غريب، أي استجابة الجسم لمادة لا يستطيع تفكيكها. مع مرور الوقت، نتج عن هذا التفاعل تندب وتكلس، مما أدى إلى تخزين كميات كبيرة من الكالسيوم داخل العضلة. وفي النهاية، وصل هذا الكالسيوم إلى مجرى دمه.
وأشارت تقارير سابقة لحالات مماثلة إلى أن إزالة العضلة المتكلسة جراحيا ستكون العلاج الوحيد الموثوق طويل الأمد لارتفاع الكالسيوم المستمر لدى الرجل.





